Petechial hemorrhages are ruptures of the (microscopic) capillaries that provide…
Lead poisoning originates from exposure to a lead contaminated environment. This contamination…
The umbilical cord is responsible for in utero delivery of oxygenated blood from…
Referring to a Pap smear specimen as Cytyc means that the smear was…
Asphyxia, when severe enough, leads to HIE (hypoxic ischemic encephalopathy). HIE is…
Improper positioning during surgery may result in neurologic damage that could…
Vascular complications occur in approximately 1 to 3 percent of diagnostic…
Emergency medicine is the specialty that deals with the diagnosis, care and treatment of…
Human papilloma virus (HPV) is known to be the cause of genital warts, otherwise…
Herpes Simplex Virus (HSV-2) infection is one of the most common sexually…
Intravenous heroin addiction is one of the most gripping and powerful addictions…
Warts are treated by numerous methods, including external creams solutions…
The procedure of orotracheal intubation involves opening the mouth and placing into…
A previously healthy male presenting to an emergency department with acute flank…
Syncope, i.e., passing out, is a rare, but documented, potential adverse…
Driving under the influence of cocaine is a major traffic safety problem owing…
Postpartum cardiomyopathy is an uncommon, but well-known, complication of…
The treatment of injuries and the subsequent scars depends on many factors. Healing is…
Bladder Catheterizations There are several reasons (purposes) that a patient may require…
The genitourinary tract in males includes the kidneys, ureters, urethra, penis…
ERCP (endoscopic retrograde cholangiopancreatography) is an advanced endoscopic…
A competent orthodontist must attempt to either increase arch length or decrease tooth…
Multiple myeloma is a disease that affects the bone marrow of the bones and is a cancer of…
Facial granulomas are a well-known consequence of many facial soft…
Typically, patients who undergo knee arthroscopy for a medial meniscus tear recover…
Renal transplantation is the standard of care for those patients with end-stage renal disease (ESRD) who…
The placement of a ureteric stent is not unusual in transplant surgery. Surgeons…
A contusion involving his occipital lobes or another part of the post-chiasmal visual…
Superficial peroneal nerve injury is a common sequelum of inversion injuries…
Increasing the amount of energy delivered during laser hair removal is a common….
Glaucoma causes progressive, chronic damage to the optic nerve called glaucomatous optic…
Examination of the pupil function is part of a complete eye exam and an…
Epithelial ingrowth is migration of ocular surface cells called epithelial cells…
A cataract is a clouding of our natural crystal lens that can obscures vision. It may progress…
Visual field testing is functional testing, assessing both peripheral and central…
Hyperthermia is defined as elevation of the body core temperature above 37.5 degrees…
Once a squamous cell carcinoma of the head and neck is diagnosed, the treatment is based on…
Atrial fibrillation has been well-documented in the setting of stress, including…
When a patient presents with a solitary neck nodule that is non-tender, the differential diagnosis includes…
The most common site of oral cavity cancer is the mobile tongue, usually on the lateral…
Highlighting is a very popular and common hair treatment in American society. Despite the frequency of…
Target IOP may be somewhat arbitrary at the onset of glaucoma…
Both glaucoma and multifocal IOLs can create contrast abnormalities that can affect the…
Intraocular lens (IOL) choice can be a challenge in post-LASIK patients who subsequently undergo cataract…
Inguinal hernias are a common surgical problem. It is accepted surgical practice to repair these with…
Bronchial asthma, also termed chronic eosinophilic bronchitis, is a common inflammatory…
Bowel injuries during abdominal operations are dreadful complications. Without more…
Stevens‐Johnson syndrome (SJS) and toxic epidermal necrolysis (TEN) are…
Oral endotracheal intubation is a procedure that utilizes an instrument called a laryngoscope to visualize the opening of…
Urine test results cannot be used to prove that a person was under the influence of the drug…
The general public activates emergency services (fire fighters, police officers and EMS providers) with the expectation…
The mechanism of death in anaphylaxis is initiated by dramatic release of histamine from…
Iron dextran is an agent widely known to cause anaphylactic reactions with a frequency that…
While treating patients with spinal problems, the initial medications should, without good reason otherwise…
The magnitude, direction and abruptness of a force on the spine affect whether it will cause pathology. With regard to…
The spinal cord is the nerve tissue connecting the brain to the peripheral nervous system. It exists within…
Well-documented risk factors for cardiovascular disease include hypertension, high cholesterol…
The most common symptoms of lung cancer are chronic and/or worsening cough, shortness of breath with exertion…
Lung cancer is the most common fatal malignancy among both men and women in the United States. Its peak incidence is…
Imaging in lung cancer is far from perfect. A chest x-ray cannot distinguish lung cancer from a…
The ability of a cancer to be treated surgically with a complete resection for potential cure is…
There are two major types of lung cancer -- small cell and non-small cell. Both of these are…
The accessory nerve controls the sternocleidomastoid and trapezius muscles which…
Biopsy can be completed via fine needle aspiration (FNA), sonographically guided…
Lymphadenopathy refers to lymph nodes that are abnormal in size, consistency, or number. Lymph nodes are generally…
Permissive hypotension is an accepted principle in the management of a trauma patient in hemorrhagic shock and can be…
Organ perfusion and function is dependent on adequate intravascular volume. Adequate coronary artery…
During this preparation, the patient drinks a large volume of polyethylene glycol solution…
Fabry disease is a genetic enzyme (alpha-galactosidase A) deficiency leading to accumulation…
Patients who have had joint replacement surgery are prone to get postoperative…
Chemical agents used for the induction and maintenance of general anesthesia vasodilate…
Contusion of the heart usually occurs as a result of a direct blow to the sternum and is…
Intraoperative durotomy has been associated with chronic post-operative pain in the
Corticosteroids are commonly used as a treatment for radicular pain originating from
In the presence of an acute root canal infection, it is incumbent on the dentist to treat the offending…
Untreated chronic hepatitis, either due to hepatitis B or C, can result in cirrhosis or…
Endometriosis is the term for endometrial implants (pieces of the uterine lining, or, endometrium) that…
The most common gynecologic disease associated with chronic pelvic pain is endometriosis. Endometriosis is the presence of…
The human iris and pupil act as a diaphragm, not unlike that of a camera, which changes…
Lacerations of the skin are immediately visible at the time of injury, unlike contusions (bruises) which…
Management of IDA involves identifying and treating the underlying cause(s) of the iron deficiency…
Symptoms of impaired oxygen delivery due to anemia include shortness of breath with…
Anemia has been defined as a reduction in one or more of the major red blood cell (RBC) measurements obtained…
The reasons to keep accurate medical records are numerous, but some of the most important are…
Endometriosis-associated pelvic pain is a chronic recurrent condition in women, and has no…
It is not uncommon for patients who are s/p concussion and/or have experienced traumatic…
Endometrial ablation is a procedure used by gynecologists to treat non-malignant abnormalities of uterine or…
Irrigation using sterile saline, sterile water or tap water with adequate pressure is required to…
Claims for negligent credentialing are a natural extension of the doctrine of…
Women with polycystic ovary syndrome (PCOS) have an increased risk of hypertension and…
Recommendations have developed to help ensure that patients suffering from a myocardial infarction receive…
Myocardial ischemia is one of the most common ailments seen by physicians, and thus…
The diagnosis of fatal arrhythmia in pathology is a diagnosis of…
The risks of IV iron are both the common, minor reactions and the extremely rare, but…
Severe cardiac arrhythmias typically caused by very high voltage…
The complaint of blurred vision is the most common visual symptom. In order to see an object clearly, its image must pass…
The pressure in the mucosal capillaries of a baby’s airway is approximately 20 cm H2O…
Hydronephrosis is the accumulation of urine in the kidney with subsequent distention and enlargement of the kidney. It results from …
Abnormally increased signal within the spinal cord ("intramedullary lesion") is a finding with…
The DSM-5 includes three different anxiety disorders, which, in children, typically cluster making it…
The DSM-5 diagnostic criteria for Attention Deficit/Hyperactivity Disorder divide the symptoms in two…
Pediatric traumatic brain injury is a traumatically induced structural injury or alteration in brain function as a result of…
Meningiomas are a common variety of intracranial tumor. They may arise anywhere within the…
Joint surfaces are covered with a thin layer of articular cartilage. This layer acts as…
Embolic, ischemic stroke can occur with any form of atrial fibrillation including paroxysmal, persistent…
Airway maneuvers, which include positioning the head so the airway is unobstructed and mouth-to-mouth…
To avoid potential complications of prolonged stenting, including stent migration…
Not repairing a rent/hole in the dura leads to the nerve roots outpouching through the…
Radionecrosis of the larynx is a process in which noncancerous tissue sustains damage from…
Hirschsprung’s disease is a condition that involves the large intestines (colon) and interferes with…
There is one main reason why surgical revascularization is no longer a…
The main goal of therapy in ischemia of any type (myocardial infarction…
Surgical complications after coronary artery bypass graft (CABG) revascularization are common…
An esophageal dilatation in a patient with a Nissen fundoplication needs…
The established goal in the treatment of myocardial infarction is early time…
Chronic kidney disease (CKD) is any degree of impairment of kidney function. It is usually…
Ventricular arrhythmias are extra heart beats that originate from the lower cardiac…
Atrial fibrillation is a type of arrhythmia (abnormal electrical heart rhythm), that originates in…
Coronary artery disease refers to blockages in the arteries that feed the heart, that tend to…
Many drugs (diphenhydramine included) are known to redistribute after death, specifically in…
The standard of care for evaluation of proximal humerus fractures includes…
The options for treatment of any proximal humerus fracture include non-operative and…
The standard of care in emergency medicine for a patient with a hand laceration…
Emergency department evaluation of a patient with a potential overdose is comprised of three components…
Multiple sclerosis (MS) is an autoimmune disease of the central nervous system that…
The nipple areolar complex (NAC) is the one recognizable landmark on the breasts. The position of the NAC relative…
The commonly used scoring system used to describe the level of consciousness of a patient with a range of…
An external ventricular drain (a/k/a ventriculostomy or extraventricular drain), is a device drilled…
The part of the brain at the back of the skull. Its function is to coordinate and regulate muscular activity. It is located just above a large hole in the bottom of the skull (the foramen magnum).
An abnormal connection of blood vessels that normally does not exist in…
Irritant respiratory conditions from airborne mold exposure in a restricted indoor space are…
Hypersensitivity pneumonitis (HP) is an interstitial lung disease of immune pathogenesis…
After a person is submerged under the water, the process of drowning and asphyxia begins. The early process of drowning involves…
Upper airway cough syndrome (UACS), formerly known as postnasal drip syndrome…
Bright red bloody urine in the catheter draining the bladder alerts a surgeon…
Informed surgical consent is needed for a planned surgical procedure in a…
Osteoarthritis is a common type of arthritis in the United States. Also known as degenerative…
Rhabdomyolysis results from the death of muscle fibers from injury, and the release of their…
Necrotizing myositis is another type of necrotizing skin infection with a very similar…
Necrotizing fasciitis is an uncommon, severe infection involving the subcutaneous soft tissues including…
Autosomal Dominant Form of Polycystic Kidney Disease (ADPKD) is an inherited disease that…
Plasma cells produce antibodies to fight infections. Each plasma cell produces an antibody to fight…
Patients presenting with biliary strictures and obstructive jaundice remain…
When a patient presents with a distal humerus fracture, there are several steps that…
Displacement of a femoral neck fracture disrupts the blood supply of the…
For adverse events and product problems, the Food and Drug Administration (FDA) Medical Device Reporting (MDR)…
In order to reach conclusions regarding cause and manner of death, forensic pathologists must…
he rotator cuff is comprised of four small muscles that envelop…
Diverticulitis begins with the development of a micro-perforation in the pocket (diverticulum) that has formed…
When patients are admitted to an inpatient service from the ED and no inpatient beds are immediately available for the patient, the patient may spend hours in the ED waiting for the inpatient bed. This is termed ED boarding.
Several characteristics of melanoma have been identified and well-studied. Among the factors studied for primary lesions, the depth of invasion and presence or absence of invasion are most important and are incorporated into the formal American Joint Committee on Cancer (AJCC) staging criteria.
Bacterial endocarditis is a dangerous and often life-threatening infectious ailment that must be diagnosed and treated immediately. If left untreated, it will destroy…
Anesthesiology is the division of medicine that deals with the use of pharmaceutical agents (anesthetic drugs) for sedation and pain management before…
Addiction psychiatry is a subspecialty in the field of psychiatry that deals with individuals with dependencies, for example, to alcohol, drugs, nicotine, and other…
Visual field loss (or visual field cut): The visual field is the total area that can be seen while…
Traumatic optic neuropathy (TON): The optic nerve transmits signals between the eyes and…
Relative afferent pupillary defect (RAPD or APD): RAPD is a condition in which the left…
Steroid response for elevated intraocular pressure: Intraocular pressure (IOP) is the measurement of…
Commotio retinae (Berlin’s edema): Damage to the retina’s outer layers from a shock wave…
Traumatic iritis (a form of anterior uveitis a/k/a iridocyclitis): An inflammation of the anterior…
Pulmonology (pulmonary or respiratory medicine) is a subspecialty of internal medicine that deals with…
Cardiac (heart) transplantation is a surgical treatment option for patients who have end-stage…
Hepatology is a division of internal medicine, specifically gastroenterology, that…
In surgical cases, it is always critical to make sure there were indications for the surgery and the correct surgery was chosen. Below is a decision tree for Cervical Artificial Disc Replacement.
In surgical cases, it is always critical to make sure there were indications for the surgery and the correct surgery was chosen. Below is a decision tree for Patellofemoral Replacement:
In surgical cases, it is always critical to make sure there were…
In surgical cases, it is always critical to make sure there were indications for the surgery…
Deep vein thrombosis with pulmonary embolus--in short, thromboembolic disease…
While it is true that back pain related to disc displacement may need to be…
Combination of digital rectal examination and serum PSA is the most…
Radon gas is a natural byproduct of uranium that seeps from the ground and to which everyone is exposed…
Radon gas is a naturally occurring by-product of uranium. It actually seeps from the ground and…
Methicillin Resistant Staphylococcus Aureus (MRSA) is a Staph bacterium that…
In a normal heart, all deoxygenated blood collects and returns to the heart through…
Shoulder dystocia is the inability to deliver the fetal shoulders after delivery of…
The presence of a high concentration of glucose in vitreous humor at the time of autopsy is very abnormal.
Most procedures on the prostate will require high-energy instrumentation. This can lead to significant burns and possible perforation of the prostatic urethra.
Informed consent: Informed surgical consent is needed for a planned surgical procedure in a non-emergent situation.
Collections of blood that form in the subdural space in the brain are common in patients 50 years and older, with head trauma the common cause. The subdural space is the area between the brain surface and the dura (covering) of the brain.
Cervicalgia and cervical radiculopathy can cause acute or chronic pain depending of the severity of the underlying pathology. Both conditions can exhibit a waxing a waning pattern predicated on the patient’s activities.
Necrotizing enterocolitis (NEC) is an intestinal infection that primarily affects premature infants shortly after beginning of feeds and affects approximately 7% of premature infants.
When lead is absorbed into the body, it is quickly taken up by bone and is tightly bound. It is then slowly released into the circulation keeping the blood level elevated for years.
Evaluation for UTI typically involves examination (e.g., inspection and palpation of the genitals, palpation of the lower abdomen), urinalysis and urinary culture. Treatment is based on the suspected diagnosis.
Nurses are responsible to realize that subtle changes in temperature instability can be the first signs of a life-threatening infection.
The most important factors predisposing to DVT are immobility of the extremity and the presence of a hypercoagulable condition.
When a patient’s dialysis access is clotted, a dialysis center is required to contact a surgical service to arrange for declotting. That said, clotting is a very common occurrence and not an emergency.
If bowel ischemia is not recognized and treated, the muscle layer of the bowel between the mucosa and serosa starts to die. Soon, the serosa becomes ischemic and starts to die.
Acute thrombosis of the SMA and/or its branches is a catastrophic event that can lead to ischemia and death of most of the small intestine and the right colon if not recognized and surgically treated.
Sepsis is defined as life-threatening organ dysfunction secondary to an infection. The clinical spectrum of sepsis includes SIRS (systemic inflammatory response syndrome)…
A CTA shows vasculature in detail and is the test of choice when the vasculature is what needs to be evaluated. If the intent is to evaluate for vessel occlusion or blockage…
Acute abdomen is a clinical scenario marked by severe abdominal pain of acute onset, typically within 24 hours. The differential diagnosis is broad and includes the following…
An elevated lactic acid level can be caused by several entities including select medications, intense exercise, recent seizures, decreased clearance by the liver, and any clinical state marked by hypoperfusion or a low flow state.
Risk factors for DVT include any problem that alters the clotting system or alters blood flow in the deep veins. These are broadly classified between acquired risk factors that enhance clotting and inherited thrombophilias.
Incarceration makes a patient’s post op management more complex. Care of an inmate must take into consideration limitations on postoperative care.
Hammertoes are the most common lesser toe deformity. They make up nearly 50% of all forefoot surgeries.
Intravenous tPA is the only FDA-approved (since 1996) medication for the management of acute ischemic stroke. tPA is a thrombolytic agent that breaks down the fibrin that binds clots together. When administered to a patient having an acute ischemic stroke, tPA has been demonstrated to reduce long-term disability.
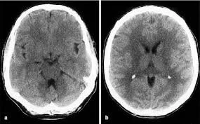
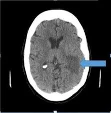
The hippocampus is the most oxygen-sensitive part of the brain. It is well-known that severe anoxia results in profound neuronal cell death. Generalized and/or focal brain atrophy most frequently occurs in the hippocampus, the most oxygen-sensitive region of the brain.
A medication error is a preventable event that can cause patient harm. ED medication errors are derived from prescribing, transcribing, preparation, and dispensing.
Speaking generally, when chemical exposures cause medical sequelae, the duration of the claimed exposure is a factor (along with the quantitative extent of exposure and route of absorption) that may be determinative of whether a causal link exists.
Automated dispensing cabinets [ADCs], such as Pyxis systems, are the most widely used medication safety technology.
In the ED, appropriate monitoring of seriously ill patients is of utmost importance.
Ketamine is a general anesthetic medication that is used both in the operating room for patients requiring general anesthesia to undergo surgery as well in the ED for sedation for painful procedures.
Keppra is an antiseizure medication that is commonly used to treat patients who have seizures. It is often administered as an IV infusion to patients in the ED after they have a witnessed seizure or, occasionally…
Medication administration safety is critical in all treatment areas but requires additional safeguards in the ED environment, which is sometimes chaotic. There are multiple mechanisms to reduce the risk of medication error in the ED.
Family Medicine Aesthetic Medicine (FMA) is a branch of Family Medicine that focuses on the enhancement and improvement of physical appearance using medical and surgical treatments.
Dermatology is the medical specialty that deals with the diagnosis, treatment, and prevention of conditions that affect the skin, hair, nails and mucous membranes.
Nurses may provide direct patient care to patients. They perform physical examinations, health assessments, and administer treatments.
Oculoplastic surgery is a specialized field of ophthalmology that focuses on the treatment of diseases and conditions affecting the eyelids, orbits, tear ducts, and upper face and forehead.
Rheumatology is a branch of medicine that focuses on the diagnosis and treatment of musculoskeletal diseases and systemic autoimmune conditions.
The scope of social work is broad and encompasses a range of activities. Social workers may provide direct services such as counseling, psychotherapy, crisis intervention, case management, and advocacy.
Perinatology is a field of medicine that focuses on the care of pregnant women and their unborn babies. It is also sometimes referred to as maternal-fetal medicine or high-risk obstetrics, and is a subspecialty of obstetrics.
Internal medicine is a branch of medicine that deals with the diagnosis and treatment of adult illnesses.
Emergency medicine is a medical specialty that deals with the immediate and urgent care of patients with acute illnesses or injuries.
Critical care medicine is a medical specialty that focuses on the diagnosis, treatment, and management of critically ill patients.
General surgery is a surgical specialty that deals with the diagnosis, treatment, and management of a wide range of diseases and conditions, both acute and chronic, that affect the organs and tissues of the body.
Radiology is the medical specialty that uses imaging techniques to diagnose and treat diseases and injuries.
Orthopaedic surgery is a mixed-medical/surgical specialty that focuses on the diagnosis, treatment, and prevention of musculoskeletal disorders and injuries.
Pain medicine, also known as pain management, is a branch of medicine that focuses on the assessment and treatment of pain.
Burn medicine and surgery is a specialized field that focuses on the diagnosis, treatment, and management of burn injuries.
Cosmetic dentistry is a branch of dentistry that focuses on improving the appearance of a person's teeth, mouth, and smile.
Colon-rectal surgery is a specialty that focuses on the surgical treatment of conditions that affect the colon, rectum, and anus.
Nuclear cardiology is a medical specialty that uses nuclear imaging techniques to visualize and assess the function of the heart.
Child psychiatry is a subspecialty that focuses on the diagnosis, treatment, and prevention of mental, emotional, and behavioral disorders in children, adolescents, and their families.
Child abuse and neglect is a serious public health problem that affects millions of children around the world. It is defined as any act or failure to act that causes harm, or puts a child at risk of harm, by a parent, caregiver, or other person.
Cardiothoracic trauma is a subspecialty that focuses on the diagnosis and management of injuries to the heart, lungs, and other structures within the chest cavity.
Heart failure and transplant cardiology is a subspecialty within the field of cardiology that focuses on the diagnosis and treatment of heart failure, a condition in which the heart is unable to pump enough blood to meet the body's needs.
Cardiovascular surgery is a specialty that involves the surgical treatment of diseases and conditions of the heart and blood vessels. This includes procedures to correct structural abnormalities, repair or replace damaged or diseased tissue, and improve the function of the cardiovascular system.
Interventional cardiology is a branch of cardiovascular medicine that deals with the diagnosis and treatment of heart and blood vessel conditions using minimally invasive procedures.
Cardiac anesthesiology is a subspecialty of anesthesiology that focuses on the care of patients undergoing cardiothoracic surgery and other procedures involving the heart and lungs.
Cardiac electrophysiology is the medical subspecialty of cardiology that deals with the electrical activity of the heart…
Allergy is a branch of immunology that deals with the study of immune system responses to substances that are typically not harmful to the body.
Cardiology is a medical specialty that focuses on the diagnosis, treatment, and management of conditions related to the heart and blood vessels.
An epileptologist is a neurologist who specializes in the treatment of epilepsy. Epileptologists may be either pediatric or adult neurologists.
Bariatric surgery is a type of weight loss surgery that is performed on individuals who are obese or have severe obesity. Obesity is defined as having a body mass index (BMI) of 30 or higher, while severe obesity is defined as having a BMI of 40 or higher.
A must-read for attorneys handling plastic surgery malpractice. Covers procedures, expert roles, and case law.
This in-depth guide helps attorneys navigate physical therapy malpractice cases by defining the profession's scope, subspecialties, and clinical standards. Learn how physical therapy medical experts evaluate care quality, common legal pitfalls, and documentation practices to support or defend injury claims. Ideal for attorneys building strong arguments in negligence litigation involving rehabilitation professionals.
Thoracic surgery involves complex procedures within the chest cavity, addressing diseases of the lungs, esophagus, and mediastinum. Given the inherent risks and potential complications, malpractice claims often arise from surgical errors, delayed diagnoses, or informed consent issues. This detailed article explains the medical and legal intricacies, emphasizing the indispensable role of thoracic surgery medical experts in litigation contexts.
Otology and neurotology medical experts play a pivotal role in medical malpractice litigation involving ear disorders and neurological conditions of the skull base. These specialists clarify standards of care, analyze surgical outcomes, and provide authoritative testimony on complex issues such as hearing loss, facial nerve injuries, acoustic neuromas, and informed consent disputes, often determining the outcome of cases through their expert opinions and insights.
Urology is a surgical and medical specialty dedicated to the diagnosis and treatment of conditions affecting the urinary tract and male reproductive system. For attorneys navigating malpractice litigation, understanding the scope of urology is essential—particularly how urology medical experts assess standard of care, determine causation, and testify in complex legal cases. This article offers a comprehensive overview of urology’s subspecialties, common malpractice claims, and the critical role of expert witnesses in achieving just outcomes.
Urgent care centers play a vital role in today’s healthcare system—but when a patient suffers harm, how is liability determined? This in-depth article explores the definition and scope of urgent care medicine and how urgent care medical experts help establish the standard of care in malpractice litigation. From missed diagnoses to failures in triage, attorneys will gain clarity on when and how expert testimony can make or break a case.
Spinal cord stimulator therapy provides direct electrical stimulation to the spinal cord by interfering with the brain’s processing neural information from the pain pathways.
When CT is used, a circular region of interest is drawn around a portion of one of five lumbar vertebrae.
Roux-en-Y gastric bypass surgery is the second most common weight loss operation performed in the United States.
Infectious diseases are illnesses caused by the presence of organisms such as bacteria, viruses, fungi or parasites.
Handoff is the transfer and acceptance of patient care achieved through effective communication.
Seromas can develop after both open and laparoscopic hernia repairs. It is required to describe this common complication to the patient during the informed consent process.
General surgical residency training can range from five to seven years depending on whether the resident seeks to perform research.
Hernias and bulges that result from TRAM surgery are difficult problems to manage.
Meralgia paresthetica is a condition characterized by paresthesia, numbness, or pain the outer aspect of the thigh because of compression of the lateral femoral cutaneous nerve.
Failed back surgery syndrome (i.e., post-laminectomy syndrome) is defined as chronic pain following lumbar surgical procedures.
The lumbar discs are the cushioning between adjacent lumbar vertebral bones.
As part of the aging process, degeneration occurs in the lumbar region and is referred to as lumbar spondylosis.
The human coagulation pathway (blood clotting system) is a complex and delicate balancing act between proteins in the bloodstream that…
Correct determination of the cause and manner of death is only rarely taught in medical training and, as a result, misclassification is common.
Tourniquets are commonly used in podiatric surgery to provide hemostasis and a bloodless surgical field.
Stroke symptoms indicate focal brain ischemia, which is inadequate blood supply that can lead to permanent cell death from infarction.
EtCO2 is a measure of exhaled carbon dioxide. In the cardiac arrest setting, this measurement is taken via a sensor attached to the endotracheal tube.
Based on the AHA/ILCOR 2015 guidelines, chest compressions in CPR should be performed with minimal and brief interruptions for defibrillation and change of rescuer.
Ventricular fibrillation is a common life-threatening and treatable dysrhythmia that occurs early in sudden cardiac death.
Failing to treat subacute bacterial endocarditis or treating it insufficiently, e.g., with an inadequate antibiotic regimen, will lead to…
Foot and ankle orthopaedic surgery is a specialized subfield of orthopaedics that focuses on the diagnosis, treatment, and prevention of disorders and injuries of the foot and ankle.
Gastroenterology is a branch of medicine focusing on the digestive system and its disorders.
Environmental Medicine focuses on the health effects of environmental pollutants, including the study of how environmental toxicants affect human health, as well as the prevention and treatment of environmental-related illnesses.
Endovascular neurosurgery is closely related to other medical specialties, such as neurology, radiology, interventional cardiology, and interventional radiology.
Psychiatry is a branch of medicine that focuses on diagnosing, treating, and preventing mental disorders.
Prison medicine is a specialized branch of medicine that focuses on providing healthcare to individuals who are incarcerated in correctional facilities.
Neurology is a medical specialty that focuses on the diagnosis and treatment of disorders of the nervous system. This includes the brain, spinal cord, and peripheral nerves.
Gynecology is a branch of medicine that focuses on the diagnosis and treatment of conditions related to a woman’s reproductive structures, such as the uterus, ovaries, fallopian tubes, and vagina.
Documentation of pain varies widely among healthcare facilities, with most hospitals considering pain a “vital sign” alongside the more traditional heart rate, temperature, and blood pressure.
In order to provide acute stroke patients the best opportunity for full recovery when presenting to an emergency department with…
Craniofacial surgery is a specialized area of plastic and reconstructive surgery that focuses on treating congenital and acquired abnormalities of the head, face, neck and skull.
Family medicine is a medical specialty that is focused on providing comprehensive care for patients of all ages.
Deep tissue injury occurs when the blood supply to the muscle and connective tissue overlying a boney prominence such as the sacrum is interrupted by pressure on the small blood vessels or by shear stress.
The signs and symptoms of chronic heart failure are usually associated with comorbid chronic medical conditions including myocardial infarctions, hypertension, obesity, and diabetes mellitus.
Herpes simplex virus, type 1 or type 2, causes viral-mediated cellular death and associated inflammatory response.
A concussion is a brain injury caused either by a direct blow to the head or by violent shaking of the head
Lead exposure causes diminished IQ, delayed language development, reading difficulty, memory loss, abnormal social engagement, antisocial behavior, and ADHD.
Biomechanics is defined as “the study of the structure and function of biological systems by means of the methods of mechanics.” Hatze, H., Journal of Biomechanics 7: 189-190 (1974).
The Reference Manual on Scientific Evidence (Exhibit A), written jointly by the National Academies of Science and the Federal Judicial Center, 2000 states: “Specifically, one cross-disciplinary domain deals with the study of injury mechanics, which spans the interface between mechanics and biology."
In physics, there is a concept termed ‘vector.’ A vector has two quantities —magnitude and direction.
This diagnosis implies that a person’s oxygen requirements or respiratory status has progressed beyond low-level support and commonly leads to transfer to the ICU for more aggressive interventions.
As defined in the medical literature, pneumonia is the inflammation of the lung parenchyma (tissue) in which the air sacs (alveoli) fill with pus and may become solid typically due to an infection.
There are numerous ways to evaluate a patient’s oxygen. Pulse oximetry or saturation (SpO2) is one of them.
It is well-established that bone mineral loss is a normal physiologic process.
In a person with normal intestinal anatomy, blood alcohol content (BAC) and alcohol metabolism are a function of three things.
A brain contusion on the same side of the head as the surface impact site (abrasions and lacerations) is referred to as a coup contusion.
The DSM-5 includes three different anxiety disorders: in children, they typically cluster, making it difficult to separate one from another.
The DSM-5 has specific criteria for Post-Traumatic Stress Disorder for children six years and younger.
The small intestine absorbs nutrients and some water from digested food. The vast majority of food absorption happens in the small intestine.
Anxiety and depressive disorders are among the most common psychiatric illnesses; they are highly comorbid with each other, tending to occur at the same time for individual patients.
Approximately 17.3 million Americans (7.1% of the population) are diagnosed with depression.
Obesity as a medical diagnosis is defined in relation to body mass index (BMI). BMI is a relationship between a person’s height and weight.
GERD is one of the most common conditions diagnosed in the United States.
The Emergency Severity Index (ESI) is a five-level emergency department triage algorithm that provides a clinical stratification of patients…
A urine specific gravity test compares the density of urine with the density of water.
Loss of the normal lumbar lordosis from lumbar fusion surgery is a common source of sagittal imbalance seen in clinical practice.
The human spine is a complex biomechanical structure providing the framework for the body as well as flexibility for motion.
The hip joint is formed by the femoral head and acetabulum. Osteoarthritis of the hip develops when the cartilage covering the femoral head and acetabulum wears down.
Fentanyl and fentanyl analogs are increasingly entering the drug supply as counterfeit tablets or substituted for heroin or other drugs.
Stroke: Common symptoms of a stroke include sudden onset unilateral facial droop, unilateral motor weakness as well as numbness and tingling, visual impairment, speech disturbances, headache, and gait instability.
Cervical spondylosis is a common progressive disorder in the aging cervical spine.
Cervical whiplash is a neck injury due to forceful, rapid back-and-forth movement of the neck. It is commonly seen in low speed, rear-end motor vehicle collisions.
Cognitive function is thought of as a combination of multiple cognitive domains responsible for specific functions of the brain, such as attention, concentration, memory, cognitive speed, executive function, language, visual spatial skills, and praxis.
The Heimlich Maneuver is performed with the rescuer standing behind the choking victim. Abdominal thrusts are not recommended for children under 1 year of age because of the potential to cause more injury.
Robotic-assisted prostatectomy was designed to surgically remove the prostate in a minimally invasive manner.
Deep venous thrombosis is a known complication of surgery. The risk of developing deep venous thrombosis increases with age, prolonged surgery, pelvic surgery, obesity, and cancer, amongst other factors.
Geriatrics is a specialty that focuses on the medical care and treatment of older people.
Hematology is a branch of medicine focused on the blood including normal blood cells and their production, function, and development, as well as their diseases, disorders, and treatments.
Gynecologic oncology is a medical specialty that deals with the diagnosis and treatment of cancers that affect the female reproductive organs.
Psychology is a field of science dedicated to understanding behavior and the human mind. It encompasses a broad range of topics, ranging from the study of daily behavior and cognitive processes, to the diagnosis and treatment of mental illnesses.
Forensic psychiatry is psychiatry as it applies to the law. It is a unique blend of legal and medical knowledge, allowing practitioners to understand the mental state of individuals involved in criminal or civil cases.
Obstetrics is a branch of medicine that focuses on the care of women during pregnancy, childbirth, and the postpartum period.
Neurointervention is a medical specialty that combines advanced imaging techniques with minimally invasive surgical procedures to diagnose and treat diseases of the brain, spine, head, and neck.
The skin is composed of multiple layers of cells. A burn injury to the skin affects the surface first and, as the burn gets more severe, it penetrates deeper into the layers of the skin.
Shortness of breath when laying down is a common heart failure symptom that results from increased lung congestion of the lungs caused by the shift of fluids from the legs to the torso.
Dilated cardiomyopathy refers to the heart being dilated and enlarged with the pump function substantially weakened.
Implantation of a cardiac pacemaker consists of two basic maneuvers: the placement of…
Neuroophthalmology is a specialized field within ophthalmology that involves the diagnosis and treatment of visual system disorders.
Podiatric surgery is a specialized aspect of podiatry the focuses specifically on surgery for the structure and function of the feet and lower legs.
Forensic pathology is a branch of pathology that investigates and studies the cause, manner, and time of death and injury.
Oncology is a branch of medicine that deals with the diagnosis, treatment, and prevention of cancer.
Hypothermia describes a drop in body temperature that cannot be corrected by bodily heat production. There are multiple classifications for staging of hypothermia with the most comprehensive classification breaking the process into five stages.
Anchoring bias is a cognitive bias that causes individuals to rely too heavily on the first piece of information given to him/her about a topic.
If a tattoo is placed, the surgeon will look for it in the operating room to help identify the region of the colon that should be removed.
The small intestine joins the large intestine in the right lower quadrant. The ileocecal valve separates the small from the large intestine.
Treatment for SNHL consists of hearing aids and accessory devices.
Tinnitus intensity is often affected by ambient noise and the individual's attention to it.
Tinnitus is the sensation of hearing buzzing, ringing, hissing, or other such sounds, when none is present.
Our body has three systems that help us maintain balance and orientation: visual, vestibular, and proprioceptive.
Testicular torsion is an emergent urologic condition that, without prompt assessment, diagnosis, evaluation, and treatment, portends a low success rate for testicle salvage.
Sentinel headache can be seen in up to 60% of patients preceding spontaneous aneurysmal subarachnoid hemorrhage (aSAH) by days or weeks.
Patients who present with a history of fevers and/or night sweats and/or chills, in the absence of focal findings on history or exam, must be evaluated for bacteremia.
Pathology is the study of disease and the changes in the body that occur due to the presence of a disease or injury.
Hospitalist medicine is a rapidly growing field of healthcare that focuses on providing medical care to patients admitted to the hospital.
Vascular neurology, also known as stroke neurology, is a subspecialty of neurology that focuses on diseases and disorders of the central nervous system (CNS) caused by or related to blood circulation.
Hand surgery is a specialty of orthopedic surgery, general surgery, and plastic surgery that focuses on the diagnosis, treatment, and management of conditions and injuries of the hand, wrist, and elbow.
Covid-19 is a viral disease well known for causing mostly mild illness in young and healthy people yet is much more likely to cause life-threatening acute respiratory distress syndrome (ARDS) in the elderly, the immunocompromised, and those with particular comorbidities—such as hypertension, diabetes, and excess weight.
Squamous cell cancer (SCC) of the oral cavity is a potentially deadly disease that is usually treated surgically, with or without radiation therapy (XRT).
Certain medications can also impair the motility of the gastrointestinal tract by either inhibiting its muscular contractions or preventing its muscles from contracting in the…
Cerebral palsy is a condition marked by impaired muscle coordination and/or other disabilities, most often caused by damage to the brain before or at birth.
Spironolactone is a potent diuretic that it is banned by athletic regulatory agencies, including the NCAA.
Hashimoto's thyroiditis is an autoimmune disorder that can cause hypothyroidism, or underactive thyroid.
There are factors that may produce inaccurate urine creatinine results…
Glomerular filtration rate (GFR) measures the ability of the kidneys to remove (clear) creatinine from the blood.
Variation in creatinine production is common. The production of creatinine differs among and within people over time.
Neonatology, a specialized branch of pediatrics, revolves around the diagnosis and management of newborn and premature infants with complex medical and surgical problems.
Neonatal nursing is a subfield of nursing that focuses on providing care to premature and newborn babies during the critical period from birth up to approximately one month.
Brain aneurysms develop silently and most do so as a result of wear and tear on the arteries throughout a person’s lifetime, though no clear etiology can usually be established.
Endodontics is a specialized field of dentistry that focuses on the diagnosis, prevention, and treatment of diseases affecting the dental pulp and its surrounding tissues.
Vascular medicine is a specialized field that focuses on the diagnosis, treatment, and prevention of diseases of the vascular system.
Many products are available to the surgeon to facilitate hemostasis in tissue. Most typically, these products are deployed during surgery, but some can be placed on bleeding wounds.
Neurointervention is a rapidly growing medical specialty that uses minimally invasive techniques to diagnose and treat conditions of the central nervous system, particularly the vasculature.
As a subspecialty of both obstetrics/gynecology and also urology, urogynecology focuses on the diagnosis and treatment of pelvic floor disorders in women.
Neurosurgery is a highly specialized field of surgery that deals with the diagnosis and treatment of diseases and disorders of the nervous system.
Toxicology is a branch of science that focuses on the study of the harmful effects of chemical, physical, and biological agents on living organisms.
Vascular surgery is a subspecialty of general surgery focuses on diagnosing and treating diseases of the arterial and venous systems, including the arteries, veins, and lymphatic vessels.
Neuroradiology is a medical specialty within radiology that focuses on the diagnosis and treatment of diseases of the central nervous system.
Neurocritical care is a specialized field of medicine that focuses on the management of critically ill patients with neurological conditions.
Stevens-Johnson syndrome (SJS) is a rare, serious disorder of the skin and mucous membranes.
Prolonged daily high-dose exposures during active spraying coupled with the long-term chronicity of exposure have been documented to contribute to lymphoma risk.
The International Agency of Research on Cancer (IARC) classified glyphosate as a probable human carcinogen (class 2A) in March 2015 after thorough, independent, and rigorous investigation by independent researchers and investigators in the field.
A study published in 2003 examined pooled data from three case-control studies on NHL in the midwestern United States.
It has been recently documented that there is an increased risk of development of lymphoma in patients with a history of significant exposures to the commonly used herbicide glyphosate (RoundupTM).
This article discusses the various risk factors associated with the development of lymphomas, as recognized by the American Cancer Society.
Chronic lymphocytic leukemia/small lymphocytic lymphoma (CLL/SLL) is a lymphoid neoplasm characterized by a progressive accumulation of functionally incompetent lymphocytes, which are monoclonal in origin.
The development of all cancers, including lymphomas, involves the alteration (mutation) of DNA, which is the genetic material within each cell controlling all biological functions of that cell.
Neurotology is a subspecialty of otolaryngology that focuses on the diagnosis, evaluation, and treatment of conditions related to the ear, hearing, balance, and skull base, particularly those rooted in the central and/or peripheral nervous system.
Wounds and burns can be categorized by their depth of penetration into the skin.
Child protective services (CPS) and law enforcement may become involved when a child presents for medical care with an unexplained injury…
Injures, wounds, and burns can be categorized by their depth of penetration into the skin.
Stevens-Johnson syndrome (SJS) and toxic epidermal necrolysis (TEN) are severe mucocutaneous reactions.
A retained foreign object following surgery is a preventable occurrence.
Fibroids are a common condition affecting up to 50% of women, with submucosal fibroids inside the uterine cavity potentially impacting fertility and pregnancy outcomes.
Neuropsychology is a subfield of psychology that combines the understanding of the structure and function of the brain with psychological principles.
Otolaryngology, commonly referred to as ENT (ear, nose, and throat), is a branch of medicine that specializes in the diagnosis and treatment of disorders of the head and neck.
Morphology Aneurysm morphology has been long understood to have predictive value for rupture risk.
The first part of standard of care for physical therapy is to review and follow the order or referral from the patient’s physician.
Lacerations of the skin are a type of non-sharp trauma that involves tearing or ripping of the skin, as opposed to an incision which is caused by cutting with a sharp object.
New York State MHL §9.41 allows a police officer to “take into custody any person who appears to be mentally ill and is conducting himself or herself in a manner which is likely to result in serious harm to the person or others.
A CT scan is the test of choice to be performed when a patient is presenting with stroke-like symptoms.
Fungi, also termed molds, are ubiquitous in nature. Humans living in most global environments are routinely exposed to fungal airborne reproductive spores and metabolic products.
The diagnosis of inhalant allergic disorders such as allergic rhinitis and asthma requires two components, and both need to be positive to make such a diagnosis.
By definition, an aneurysm is an abnormal dilatation of an artery (like a blister), i.e., a weak area in an arterial wall.
Telemedicine has rapidly emerged as a game-changer, leveraging information and communication technology to deliver medical services remotely.
Nutrition Medicine is the comprehensive medical field dedicated to preventing, diagnosing, treating, and managing nutritional conditions, diseases, and health concerns by leveraging lifestyle adjustments, nutritional interventions, physical activity, surgery, and tailored dietary strategies.
Urgent care medicine encompasses a broad scope of conditions, diseases, treatments, and procedures for comprehensive and immediate care for non-emergency medical needs.
Oral and maxillofacial surgery (OMS) is a specialized field of dentistry that encompasses a wide range of conditions, diseases, treatments, and procedures related to the head, neck, face, jaws, and surrounding areas.
Transplant surgery encompasses the conditions, diseases, treatments, and procedures surrounding the transplantation of organs, tissues, and cells.
A hair alcohol test is used to determine if a person has consumed alcohol over a period ~90 days and, in some cases, longer.
Transplant hepatology is a specialized medical field that encompasses the conditions, diseases, treatments, and procedures related to liver health and liver transplantation.
Surgical oncology is a specialized field within general surgery that involves the diagnosis and multidisciplinary treatment of patients with cancers that might require surgical treatment.
Surgical critical care focuses on the intensive care and management of critically ill or injured patients, particularly trauma victims and patients with multiple organ dysfunction, who require surgical intervention.
Nuclear medicine is a specialized field within the medical domain that employs radioactive substances to diagnose and treat various conditions and diseases.
Ocular trauma encompasses a wide range of conditions, diseases, treatments, and procedures related to physical injuries affecting the eye and its surrounding structures.
Ocular immunology encompasses a broad range of conditions, diseases, treatments, and procedures related to the immune system's interaction with the eyes.
Ophthalmology, as a specialized branch of medicine, encompasses a diverse range of conditions, diseases, treatments, and procedures related to eye care.
Obstetric anesthesiology is a specialized medical field that focuses on providing safe and effective pain relief and anesthesia for pregnant women during labor and delivery.
Interventional radiology is a medical specialty that has revolutionized the way diseases and conditions are diagnosed and treated.
Hepatobiliary surgery is a specialized field of surgery that encompasses a broad scope of conditions, diseases, treatments, and procedures related to the liver, gallbladder, bile ducts, and pancreas.
Maternal-Fetal Medicine (MFM), also known as high-risk obstetrics, is a subspecialty of obstetrics that focuses on the comprehensive care of both mother and fetus during pregnancy.
Nursing home medicine is focused on delivering comprehensive care to people residing in long-term care facilities.
Hospital security is a crucial aspect of maintaining the safety and well-being of patients, visitors, and staff within healthcare facilities.
Medical toxicology involves the study of potential adverse effects caused by chemicals, drugs, and various substances on human health.
Hospital administration plays a crucial role in managing the operations of healthcare organizations, ensuring efficient and effective delivery of medical services.
Nephrology is a specialized field of medicine that focuses on the diagnosis and treatment of kidney diseases.
Ultrasound examinations of intimate areas are inherently hands-on, time-intensive procedures requiring direct patient contact and exposure. While these exams follow strict clinical protocols, their nature can lead to misinterpretation and, in rare cases, allegations of misconduct. Understanding standard practices, patient safeguards, and the clinical context is essential when evaluating such claims.
Gunshot wound trajectory analysis can reveal critical details about the position and movement of a victim at the time of shooting. A sharply upward trajectory is highly unusual and often inconsistent with a victim running away, suggesting alternative scenarios such as a prone position or escape attempt from a vehicle or window.
Comprehensive overview of ophthalmologic trauma, including globe rupture, surgical repair, visual acuity assessment, vitrectomy, and long-term complications such as sympathetic ophthalmia and phthisis bulbi. This guide explains key eye injury terms, diagnostic tools, and treatment approaches relevant in medical and legal contexts.
Cellular injury from cryotherapy can occur due to intracellular water crystallization, temperature-induced protein changes and membrane damage.
Amphetamine levels in chronic users routinely reach higher levels than expected.
In pathology, it is incorrect to use a drug concentration without any corroborating ancillary evidence including without regard to the clinical scenario.
